Videocamera ZH-A3S
ZH-A3S - Telecamera intraorale analogica con memoria microSD
Videocamera endorale ibrida analogica e digitale
con memorizzazione immagini e video su memoria microSD





Grazie alla sua duttilità puoi collegare ZH-A3S a qualsiasi monitor o TV attraverso le sue uscite AV, VGA o HDMI. Monitor "quadrato" 4:3 oppure "rettangolare" 16:9, nessun problema: un semplice tocco sull'interruttore posto sul box della telecamera e la visualizzazione si adatterà al nuovo monitor.

Il manipolo di ZH-A3S con i suoi 10 LED bianchi consente riprese sempre chiare e senza ombre.

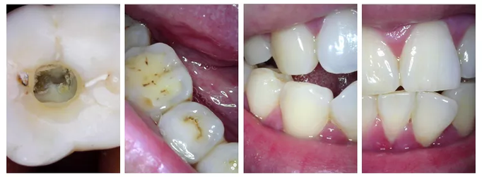
ZH-A3S permette di riprendere foto e filmati e salvarle su suna scheda microSD

Le immagini e i filmati acquisiti che ZH-A3S possono essere condivisi su qualsiasi sistema attraverso la scheda microSD.

Attraverso un comando sul manupolo di ZH-A3S la schermata potrà visualizzare 1 o 4 immagini contemporanee.

Cancellare o visualizzare un'immagine o un filmato memorizzato sulla scheda microSD è semplicissimo con i comandi sul manipolo di ZH-A3S.
